ΦΑΚΕΛΛΟΣ "ΙΟΛΟΓΙΑ" : Απεικόνιση με Ηλεκτρονικό Μικροσκόπιο - Απόδειξη ή Διάψευση του "Ιού";
Μετάφραση: Απολλόδωρος
11 Σεπτεμβρίου 2021 | Mike Stone | Διαβάστε το εδώ
Μία από τις "αποδείξεις" που προσπαθούν να προσφέρουν οι άνθρωποι για να υποστηρίξουν τον "SARS-COV-2" ή οποιονδήποτε άλλο "ιό" είναι ότι υπάρχουν εικόνες αυτών των σωματιδίων. Υποθέτουν ότι εφόσον μπορούμε να δούμε εικόνες αυτών των "ιών", αυτό σημαίνει ότι πρέπει να είναι πραγματικοί. Οι εικόνες που αναφέρονται είναι συνήθως εικόνες από Ηλεκτρονικό Μικροσκόπιο Διέλευσης (ΗΜΔ/ΤΕΜ) που λαμβάνονται από κυτταρικές καλλιέργειες. Ωστόσο, υπάρχουν πολυάριθμα ζητήματα στο να βασίζεται κανείς σε καλλιέργειες κυττάρων για την απόδειξη οποιουδήποτε πράγματος, όπως αναλύεται εδώ:
Η Υπόθεση κατά των Κυτταρικών Καλλιεργειών
Πριν από την εφεύρεση του Ηλεκτρονικού Μικροσκοπίου το 1931, οι "ιοί" απλώς θεωρούνταν ότι υπήρχαν και προκαλούσαν ασθένειες. Δεν μπορούσαν να γίνουν ορατοί οπτικά. Μετά την εφεύρεση του ΗΜ, τα κανονικά αόρατα σωματίδια που ισχυρίζονταν ότι ήταν "ιοί" μπορούσαν τώρα να φανούν. Ωστόσο, η ιδιότητα αυτών των σωματιδίων ως "ιών" εξακολουθούσε να θεωρείται, καθώς ποτέ δεν καθαρίστηκαν/απομονώθηκαν σωστά από ένα αναλλοίωτο δείγμα από άρρωστο ασθενή ούτε αποδείχθηκαν παθογόνα με ρεαλιστικό τρόπο χρησιμοποιώντας ανθρώπινα ή ζωικά μοντέλα. Αυτό που κάνουν οι ιολόγοι είναι να αναζητούν σωματίδια που ταιριάζουν στην εικόνα που θέλουν για έναν "ιό" σε ένα μη καθαρισμένο δείγμα κυτταροκαλλιέργειας (το οποίο περιέχει ενδεχομένως εκατομμύρια σωματίδια που μοιάζουν παρόμοια) και στη συνέχεια να υπονοούν παθογένεια καθώς και λειτουργία σε αυτά που επιλέγουν. Ωστόσο, χωρίς να καθαρίσουν και να απομονώσουν πρώτα τα σωματίδια που υποθέτουν ότι είναι "ιοί", δεν υπάρχει απολύτως κανένας τρόπος να γνωρίζουν οι ιολόγοι ότι τα σωματίδια που επιλέγουν ως "ιούς" είναι πράγματι "ιοί".
Αυτή είναι μια σύντομη περιγραφή του τρόπου με τον οποίο προετοιμάζονται τα δείγματα κυτταροκαλλιέργειας για την απεικόνιση και των πολλών σωματιδίων που είναι βέβαιο ότι υπάρχουν στο δείγμα και μοιάζουν με "ιούς":"
Γενικές Διαδικασίες για Εφαρμογές Ηλεκτρονικής Μικροσκοπίας σε Διαγνωστική Ιολογία
"Εν συντομία, λαμβάνεται ένα παρασκεύασμα 10 μl από την κυτταροκαλλιέργεια, τοποθετείται σε πλέγμα φορμαρίδας και άνθρακα με επικάλυψη, ακολουθεί η προσθήκη 10 μl αρνητικής χρώσης (π.χ. φωσφοτουγγικό οξύ). Τα διαλύματα αφήνονται στο πλέγμα για μερικά δευτερόλεπτα έως 1 λεπτό και ακολουθεί στέγνωμα με διηθητικό χαρτί. Το πλέγμα είναι στη συνέχεια έτοιμο για εξέταση με τη χρήση TEM. Με τη μέθοδο αυτή το υπόβαθρο χρωματίζεται και τα σωματίδια, συμπεριλαμβανομένων των άθικτων ιόντων, παραμένουν άβαφα, επομένως οι εξωτερικές λεπτομέρειες του ιού απεικονίζονται έναντι του πυκνού σε ηλεκτρόνια υποβάθρου. Πρέπει να δοθεί προσοχή στην ερμηνεία, δεδομένου ότι το δείγμα περιέχει άλλα κυτταρικά υπολείμματα που μπορεί να βρίσκονται στην περιοχή μεγέθους ενός ιού. Παρατηρήστε τα κυτταρικά υπολείμματα στο δείγμα αρνητικής χρώσης στην Εικόνα 1α. Η προσεκτική ερμηνεία πρέπει να διακρίνει μεταξύ του ιού και άλλων κυτταρικών στοιχείων, όπως οι διαλυμένες κυτταρικές μεμβράνες."
"Η ερμηνεία της υπερδομής αποτελεί κρίσιμο στοιχείο για τη σωστή ταυτοποίηση των ιών εντός ενός δείγματος. Όταν οι τεχνικές TEM εφαρμόζονται σε διαγνωστικά δείγματα, αυτό γίνεται συχνά με σκοπό την ανίχνευση ενός ιού και επομένως μπορεί να υπάρχει προκατάληψη για την προσεκτική εξέταση του ιστού προκειμένου να βρεθεί ένα σωματίδιο που μοιάζει με ιό. Γενικά, στην κυτταροκαλλιέργεια ο ιός έχει ενισχυθεί σε τόσο υψηλές συγκεντρώσεις ώστε η ανίχνευση και η ταυτοποίηση του ιού να είναι σχετικά απλή. Εάν δεν είναι έτσι, τότε θα πρέπει να διερευνηθούν άλλες αιτίες για CPE στην κυτταρική σειρά, όπως η τοξικότητα. Σε περιπτώσεις που εξετάζονται ιστοί ψαριών, οι συγκεντρώσεις του ιού μπορεί να είναι χαμηλότερες. Πρέπει να χρησιμοποιούνται αυστηρά κριτήρια προκειμένου να είναι κανείς βέβαιος ότι ένας ιός είναι υπεύθυνος για τη σχετική παθολογία και πρέπει να επιδεικνύεται προσοχή ώστε να αποφεύγεται η λανθασμένη αναγνώριση φυσιολογικών κυτταρικών δομών που μπορεί να μοιάζουν με ιό. Όταν υπάρχει υποψία ιογενούς αιτιολογίας και αναζητείται στους ιστούς είναι εκπληκτικό πόσες κυτταρικές δομές μπορεί να μοιάζουν με ιό!"
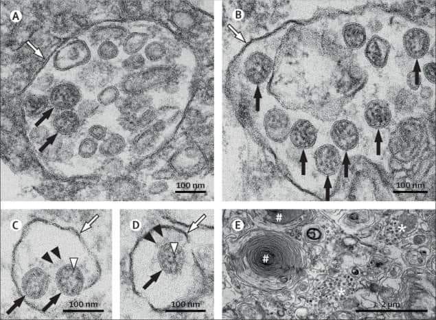
"Τα κυτταρικά οργανίδια του ξενιστή μπορεί να εμπίπτουν στο ίδιο εύρος μεγέθους με τους ιούς και μπορεί να μοιάζουν με ιϊκές δομές, αν και σαφείς διαφορές διακρίνουν τα κυτταρικά οργανίδια και τα ιούς. Πρέπει να αποκλειστεί το ενδεχόμενο οι εν λόγω δομές να σχετίζονται με κυτταρικά οργανίδια είτε σε φυσιολογικές είτε σε παθολογικές καταστάσεις, ώστε να αποφευχθεί η λανθασμένη ταυτοποίηση κυτταρικών δομών ως "όμοιων με ιούς". Διάφορα κυτταρικά συστατικά στο κυτταρόπλασμα που μπορεί να συγχέονται με ιούς περιλαμβάνουν πρωτογενή λυσοσώματα, εκκριτικά κοκκία (Εικόνα 6α,β), κυστίδια μεταφοράς (Εικόνα 6γ), γλυκογόνο (Εικόνα 7) και κρυσταλλικά εγκλείσματα. Στον πυρήνα δομές όπως οι πυρηνικοί πόροι και τα κοκκία περιχρωματίνης (Εικόνα 8), μεγέθους 30-35 nm, είναι πολύ συχνές και δεν πρέπει να συγχέονται με ιούς που βρίσκονται στον πυρήνα, όπως ο ερπητοϊός και οι αδενοϊοί. Οι πυρηνικοί πόροι βρίσκονται μέσα στις πυρηνικές μεμβράνες και όταν τεμαχίζονται en face οι πόροι είναι σαφώς ορατοί. Εκτός από τις φυσιολογικές κυτταρικές δομές, οι παθολογικές διεργασίες μπορεί να οδηγήσουν σε ασυνήθιστα κυτταροπλασματικά ή πυρηνικά εγκλείσματα που μπορεί να μοιάζουν με ιικές δομές. Για ορισμένες οικογένειες ιών, η συναρμολόγηση των ιόντων σχετίζεται με σωμάτια εγκλεισμού που αποτελούνται από ιικές δομικές πρωτεΐνες, μεμβράνες και μερικές φορές ώριμα ιικά σωματίδια. Τα εγκλείσματα μπορεί να είναι μεμονωμένα ή διατεταγμένα σε δομή πλέγματος, αλλά θα πρέπει να θεωρούνται ιογενή μόνο εάν παρατηρούνται ώριμα ιώματα, δεδομένου ότι κρυσταλλικά εγκλείσματα και σωληνοειδή εγκλείσματα μπορούν να εμφανιστούν εντός των κυττάρων ξενιστών χωρίς ιική συμμετοχή. Η εικόνα 9 δείχνει ένα κύτταρο με σωληνοειδή εγκλείσματα στον σπλήνα μιας φαινομενικά υγιούς ιριδίζουσας πέστροφας. Αν και αυτά τα εγκλείσματα είναι ύποπτα, δεν ήταν εμφανή ιικά σωματίδια. Τέτοια εγκλείσματα μπορεί να είναι αποτέλεσμα κυτταρικού εκφυλισμού. Άλλες παθολογικές διεργασίες, συμπεριλαμβανομένης της γήρανσης, της τοξικότητας και των κακώς διπλωμένων πρωτεϊνών, μπορούν να οδηγήσουν σε σωμάτια εγκλεισμού που περιλαμβάνουν πρωτεΐνες του κυττάρου-ξενιστή (Cheville 2009)".
https://www.google.com/url?sa=t&source=web&rct=j&url=https://units.fisheries.org/fhs/wp-content/uploads/sites/30/2017/08/2.1.2-Electron-Microscopy-for-Virology.pdf&ved=2ahUKEwi3poS69pnvAhVJXK0KHUC7CT44FBAWMAB6BAgEEAI&usg=AOvVaw1iLCKhWcDiQKWNMtbIxVxi
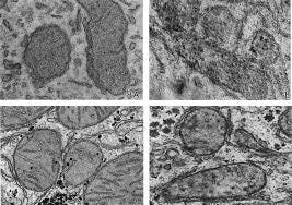
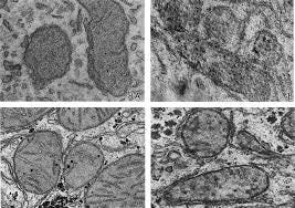
Το γεγονός ότι υπάρχουν πολλά μικρο- και νανοσωματίδια μέσα στην καλλιέργεια που μοιάζουν με "ιούς" δείχνει γιατί είναι απολύτως απαραίτητο το δείγμα που λέγεται ότι περιέχει έναν "ιό" να είναι ΚΑΘΑΡΙΣΜΕΝΟ (δηλαδή απαλλαγμένο από οποιεσδήποτε επιμολύνσεις, ξένα υλικά, ρύπους κ.λπ.), έτσι ώστε ένας "ιός" να ΑΠΟΜΟΝΩΘΕΙ (δηλαδή να διαχωρίζεται) από οτιδήποτε άλλο θα μπορούσε να μοιάζει με "ιό". Τα εξωσώματα, τα οποία είναι πανομοιότυπα με τους "ιούς", είναι μερικά από τα εκατομμύρια σωματίδια που μοιάζουν με "ιούς" και τα οποία είναι εγγυημένο ότι υπάρχουν μέσα στα δείγματα:
Εκτός από το γεγονός ότι δεν υπάρχει ρεαλιστικός τρόπος για έναν ιολόγο να ξεχωρίσει ένα σωματίδιο από ένα μη καθαρισμένο δείγμα σε μια εικόνα TEM και να ισχυριστεί ότι είναι ο "ιός" που έψαχνε, υπάρχουν και άλλα μειονεκτήματα της TEM για την ταυτοποίηση "ιών":
Μειονεκτήματα της Ηλεκτρονικής Μικροσκοπίας
"Ωστόσο, υπάρχουν αρκετά μειονεκτήματα που μπορεί να σημαίνουν ότι άλλες τεχνικές, ιδίως η φωτεινή μικροσκοπία και η μικροσκοπία υπερ-ανάλυσης, είναι πιο συμφέρουσες για τον ερευνητή. Σε αυτά περιλαμβάνονται:
Αδυναμία ανάλυσης ζωντανών δειγμάτων - Καθώς τα ηλεκτρόνια διασκορπίζονται εύκολα από άλλα μόρια στον αέρα, τα δείγματα πρέπει να αναλύονται σε κενό. Αυτό σημαίνει ότι τα ζωντανά δείγματα δεν μπορούν να μελετηθούν με αυτή την τεχνική. Αυτό σημαίνει ότι οι βιολογικές αλληλεπιδράσεις δεν μπορούν να παρατηρηθούν σωστά, γεγονός που περιορίζει τις εφαρμογές της ηλεκτρονικής μικροσκοπίας στη βιολογική έρευνα.
Ασπρόμαυρες εικόνες - Μόνο ασπρόμαυρες εικόνες μπορούν να παραχθούν από ένα ηλεκτρονικό μικροσκόπιο. Οι εικόνες πρέπει να είναι ψευδώς χρωματισμένες.
Τεχνουργήματα - Αυτά μπορεί να υπάρχουν στην παραγόμενη εικόνα. Τα τεχνουργήματα παραμένουν από την προετοιμασία του δείγματος και απαιτούν εξειδικευμένη γνώση των τεχνικών προετοιμασίας του δείγματος για να αποφευχθούν.
https://www.news-medical.net/amp/life-sciences/Advantages-and-Disadvantages-of-Electron-Microscopy.aspx
Καθώς το ηλεκτρονικό μικροσκόπιο σκοτώνει οτιδήποτε υποβάλλεται σε αυτό, δεν υπάρχει τρόπος απεικόνισης ζωντανών ιστών/δειγμάτων. Οι εικόνες είναι σε θέση να φανούν μόνο σε ασπρόμαυρη μορφή, γι' αυτό και βλέπουμε τόσες πολλές ψηφιακά χρωματισμένες και βελτιωμένες φωτογραφίες για να μας πουλήσουν την ιδέα των "ιών". Τα τεχνουργήματα είναι σχεδόν δεδομένο ότι θα είναι παρόντα σε κάποια ιδιότητα λόγω των πολλών αλλαγών που υφίσταται το δείγμα προκειμένου να απεικονιστεί σωστά. Δεν υπάρχει κανένας δυνατός τρόπος να ισχυριστούν οι ιολόγοι ότι αυτό που απεικονίζεται στις εικόνες ΗΜ ήταν ποτέ στην πραγματικότητα σε αυτή την κατάσταση πριν από τη σταθεροποίηση και την ενσωμάτωση για την απεικόνιση. Η διαδικασία στερέωσης και χρώσης ενός δείγματος για την προβολή του σε εικόνα ΤΕΜ εγγυάται ότι θα αλλοιώσει το δείγμα και φέρει αρκετά μειονεκτήματα:
Προετοιμασία δειγμάτων για το ηλεκτρονικό μικροσκόπιο
"Τα ηλεκτρονικά μικροσκόπια είναι πολύ ισχυρά εργαλεία για την απεικόνιση βιολογικών δειγμάτων. Επιτρέπουν στους επιστήμονες να βλέπουν κύτταρα, ιστούς και μικρούς οργανισμούς με πολύ μεγάλη λεπτομέρεια. Ωστόσο, αυτά τα βιολογικά δείγματα δεν μπορούν να εξεταστούν στα ηλεκτρονικά μικροσκόπια ενώ είναι ζωντανά. Αντίθετα, τα δείγματα πρέπει να υποβληθούν σε πολύπλοκα στάδια προετοιμασίας για να αντέξουν στο περιβάλλον μέσα στο μικροσκόπιο. Η διαδικασία προετοιμασίας σκοτώνει τον ιστό και μπορεί επίσης να προκαλέσει αλλαγές στην εμφάνιση του δείγματος.
Για τους επιστήμονες που επιθυμούν να δουν βιολογικά δείγματα, αυτό αποτελεί πρόκληση - πώς μπορεί το δείγμα να διατηρηθεί έτσι ώστε να μοιάζει όσο το δυνατόν περισσότερο με τον ζωντανό οργανισμό, ενώ παράλληλα να αντέχει στην απεικόνιση στο ηλεκτρονικό μικροσκόπιο".
Για να μπορούν να απεικονιστούν από ένα ηλεκτρονικό μικροσκόπιο, τα βιολογικά δείγματα πρέπει να είναι:
σταθεροποιημένα, ώστε η δέσμη ηλεκτρονίων να μην τα καταστρέφει.
να στεγνώσουν καλά ώστε να μην επηρεαστούν από το κενό.
Σταθεροποίηση: ένα στιγμιότυπο του ζωντανού δείγματος
Το πρώτο -και ίσως το πιο σημαντικό- βήμα στη διαδικασία προετοιμασίας είναι η σταθεροποίηση. Σε αυτό το βήμα, ο ζωντανός ιστός υφίσταται χημική επεξεργασία για να σταθεροποιηθεί. Αυτό σκοτώνει ταυτόχρονα το δείγμα ιστού. Είναι σημαντικό να σταθεροποιηθεί ένα δείγμα όσο το δυνατόν γρηγορότερα, διότι, μόλις ο ιστός απομακρυνθεί από το φυσικό του περιβάλλον, αρχίζει να αλλάζει. Για παράδειγμα, τα επίπεδα οξυγόνου αρχίζουν να μειώνονται μόλις ο ιστός αφαιρεθεί από έναν οργανισμό. Αυτό προκαλεί τα μιτοχόνδρια να αρχίσουν να αλλάζουν την εμφάνισή τους. Μια άλλη συνήθης αλλαγή στη διαδικασία σταθεροποίησης είναι ότι τα λιπίδια τείνουν να σχηματίζουν μικκύλια.
Προσοχή στα τεχνουργήματα της σταθεροποίησης
Τα μικύλλια και τα μιτοχόνδρια με περίεργο σχήμα αποτελούν παραδείγματα τεχνουργημάτων - δομές που φαίνονται στο μικροσκόπιο αλλά δεν βρίσκονται σε ζωντανά κύτταρα. Είναι πολύ σημαντικό να γνωρίζετε ότι κατά τη διάρκεια της σταθεροποίησης μπορεί να εμφανιστούν τεχνουργήματα, ώστε να μην τα μπερδέψετε με πραγματικά μέρη του δείγματός σας. Η διάκριση μεταξύ ενός τεχνουργήματος και μιας "πραγματικής" δομής μπορεί να είναι δύσκολη".
"Για την ΤΕΜ, τα δείγματα πρέπει να κοπούν σε πολύ λεπτές διατομές. Αυτό γίνεται για να επιτραπεί στα ηλεκτρόνια να περάσουν κατευθείαν μέσα από το δείγμα. Αφού σταθεροποιηθούν και αφυδατωθούν, τα δείγματα ενσωματώνονται σε σκληρή ρητίνη για να είναι ευκολότερη η κοπή τους. Στη συνέχεια, ένα όργανο που ονομάζεται υπερμικροτόμος κόβει τα δείγματα σε εξαιρετικά λεπτές φέτες (100 nm ή λεπτότερες). Τα δείγματα ΤΕΜ υποβάλλονται επίσης σε επεξεργασία με βαρέα μέταλλα για να αυξηθεί το επίπεδο της αντίθεσης στην τελική εικόνα. Τα μέρη του δείγματος που αλληλεπιδρούν έντονα με τα μέταλλα εμφανίζονται ως πιο σκούρες περιοχές".
https://www.sciencelearn.org.nz/resources/500-preparing-samples-for-the-electron-microscope
Συνοπτικά:
Πρέπει να δίνεται προσοχή στην ερμηνεία, δεδομένου ότι το δείγμα περιέχει άλλα κυτταρικά υπολείμματα που μπορεί να είναι στο μέγεθος ενός "ιού" (δηλαδή κυτταρικά στοιχεία, όπως διαλυμένες κυτταρικές μεμβράνες)
Υπάρχει μια παραδεκτή προκατάληψη να εξετάζεται προσεκτικά ο ιστός για να βρεθεί ένα σωματίδιο που μοιάζει με "ιό"
Εάν δεν βρεθούν ενδείξεις "ιού", τότε θα πρέπει να διερευνηθούν άλλες αιτίες CPE (κυτταροπαθολογικό αποτέλεσμα) στην κυτταρική σειρά, όπως η τοξικότητα.
Πρέπει να δίνεται προσοχή για να αποφεύγεται η λανθασμένη αναγνώριση φυσιολογικών κυτταρικών δομών που μπορεί να μοιάζουν με "ιό".
Παραδέχονται ότι είναι εκπληκτικό το πόσο πολλές κυτταρικές δομές μπορούν να μοιάζουν με "ιό".
Τα κυτταρικά οργανίδια του ξενιστή μπορεί να εμπίπτουν στο ίδιο εύρος μεγέθους με τους "ιούς" και να μοιάζουν με δομές "ιού"
Πρέπει να αποκλειστεί το ενδεχόμενο οι εν λόγω δομές να σχετίζονται με κυτταρικά οργανίδια είτε σε φυσιολογικές είτε σε παθολογικές καταστάσεις, ώστε να αποφευχθεί ο λανθασμένος προσδιορισμός κυτταρικών δομών ως "όμοιων με ιό"
Διάφορα κυτταρικά συστατικά στο κυτταρόπλασμα που μπορεί να συγχέονται με "ιούς" περιλαμβάνουν:
Πρωτογενή λυσοσώματα
Εκκριτικά κοκκία
Κυστίδια μεταφοράς
Γλυκογόνο
Κρυσταλλικά εγκλείσματα
Οι πυρηνικοί πόροι και τα κοκκία περιχρωματίνης είναι πολύ συνηθισμένα και δεν πρέπει να συγχέονται με "ιούς" που βρίσκονται στον πυρήνα, όπως οι "ερπητοϊοί" και οι "αδενοϊοί"
Παθολογικές διεργασίες μπορεί να οδηγήσουν σε ασυνήθιστα κυτταροπλασματικά ή πυρηνικά εγκλείσματα που μπορεί να μοιάζουν με "ιικές" δομέςΤα σωμάτια εγκλεισμού (συσσωματώματα σωματιδίων) θα πρέπει να θεωρούνται "ιογενή" μόνο εάν παρατηρούνται "ώριμα ιώματα", δεδομένου ότι κρυσταλλικά εγκλείσματα και σωληνοειδή εγκλείσματα μπορούν να εμφανιστούν εντός των κυττάρων του ξενιστή χωρίς "ιογενή" συμμετοχή.
Τα εγκλείσματα μπορεί να είναι αποτέλεσμα:
Κυτταρικός εκφυλισμός
Παθολογικές διεργασίες
Γήρανση
Τοξικότητα
Εσφαλμένες πρωτεΐνες
Υπάρχουν διάφορα μειονεκτήματα της Ηλεκτρονικής Μικροσκοπίας όπως:
Αδυναμία προβολής ζωντανών δειγμάτων
Μόνο ασπρόμαυρες εικόνες
Παραγωγή τεχνουργημάτων που μπορούν να εκληφθούν ως "ιοί"
Τα δείγματα πρέπει να υποβληθούν σε πολύπλοκα στάδια προετοιμασίας για να τα βοηθήσουν να αντέξουν το περιβάλλον μέσα στο μικροσκόπιο
Η διαδικασία προετοιμασίας σκοτώνει τον ιστό και μπορεί επίσης να προκαλέσει αλλαγές στην εμφάνιση του δείγματος.
Πώς μπορεί να διατηρηθεί το δείγμα έτσι ώστε να μοιάζει όσο το δυνατόν περισσότερο με τον ζωντανό οργανισμό, ενώ παράλληλα να μπορεί να αντέξει την απεικόνιση στο ηλεκτρονικό μικροσκόπιο;
Τα δείγματα υποβάλλονται σε χημική επεξεργασία που τα σκοτώνει πριν από την απεικόνιση
Η διαδικασία αυτή πρέπει να γίνει γρήγορα, διότι μόλις ο ιστός απομακρυνθεί από το φυσικό του περιβάλλον, αρχίζει να αλλάζει
Τα μιτοχόνδρια αρχίζουν να αλλάζουν την εμφάνισή τους.
Τα τεχνουργήματα μπορούν να εισαχθούν κατά τη διάρκεια της σταθεροποίησης και η διαπίστωση της διαφοράς μεταξύ ενός τεχνουργήματος και μιας "πραγματικής" δομής μπορεί να είναι δύσκολη
Αφού σταθεροποιηθούν και αφυδατωθούν, τα δείγματα ενσωματώνονται σε σκληρή ρητίνη για να είναι ευκολότερη η κοπή τους
Τα δείγματα ΤΕΜ υποβάλλονται επίσης σε επεξεργασία με βαρέα μέταλλα για να αυξηθεί το επίπεδο της αντίθεσης στην τελική εικόνα
Χρησιμοποιούνται πολλές χημικές ουσίες και γίνονται πολλές διαδικασίες στο δείγμα κυτταροκαλλιέργειας πριν από την απεικόνιση. Είναι παραδεκτό ότι αυτές οι διαδικασίες μπορούν να αλλοιώσουν το δείγμα, γεγονός που εισάγει τεχνουργήματα. Αυτά τα τεχνουργήματα είναι δομές που δεν παρατηρούνται σε ζωντανά κύτταρα, ωστόσο το δείγμα που εμφανίζεται σε μια εικόνα ΤΕΜ δεν είναι πλέον ζωντανό και έχει υποστεί σοβαρές αλλαγές όχι μόνο από τις συνθήκες κυτταροκαλλιέργειας αλλά και από τη διαδικασία στερέωσης και χρώσης. Το να ισχυρίζεται ένας ιολόγος ότι οποιοδήποτε από αυτά τα σωματίδια είναι "ιός", πόσο μάλλον ότι βρίσκονται σε ζωντανά κύτταρα ή ξενιστές, είναι στην καλύτερη περίπτωση ανειλικρινές και στη χειρότερη περίπτωση ψέμμα.
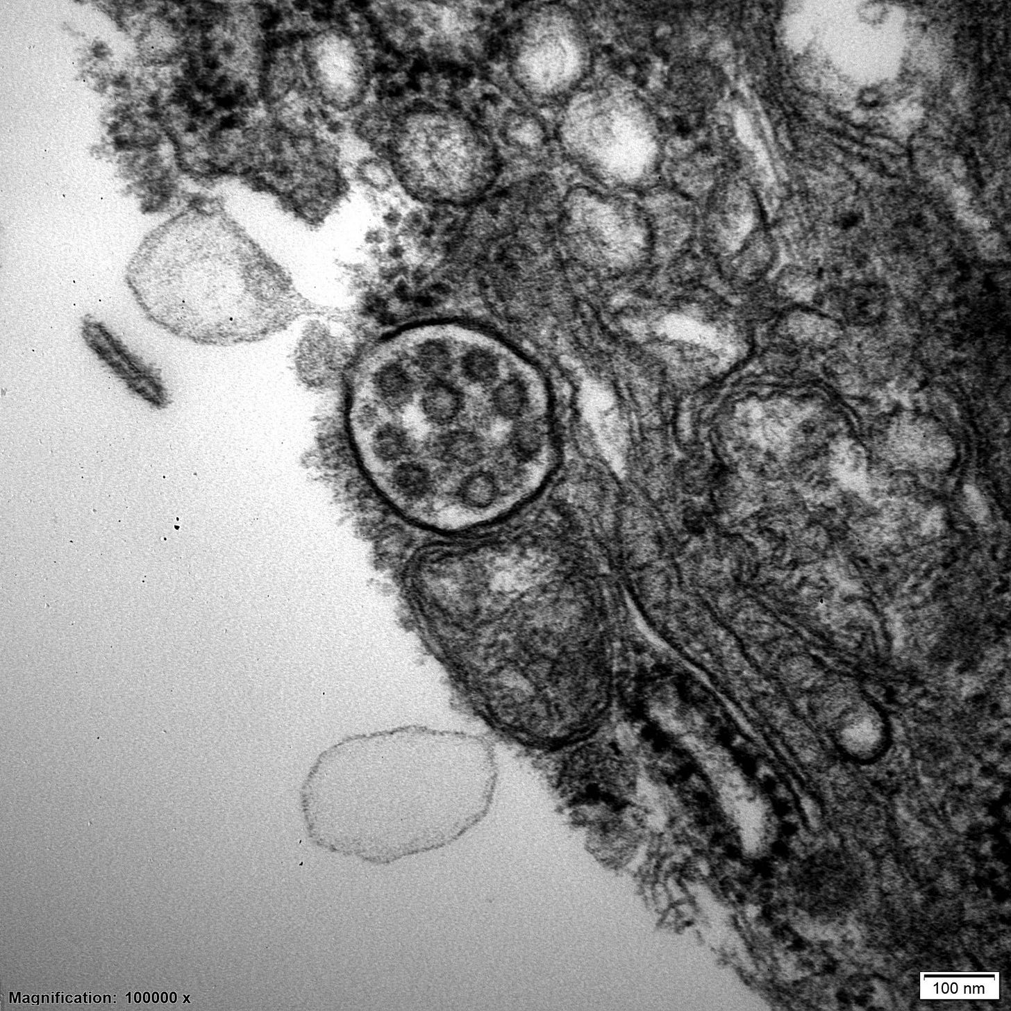
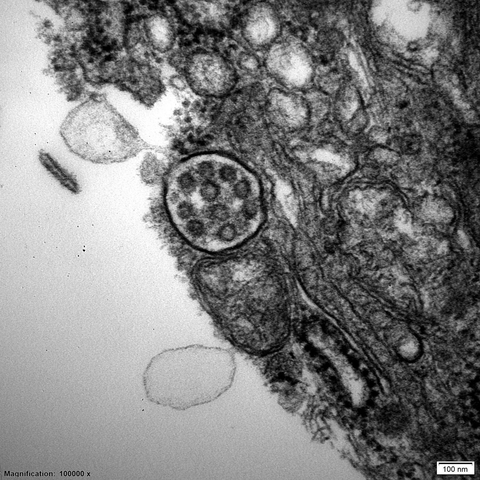
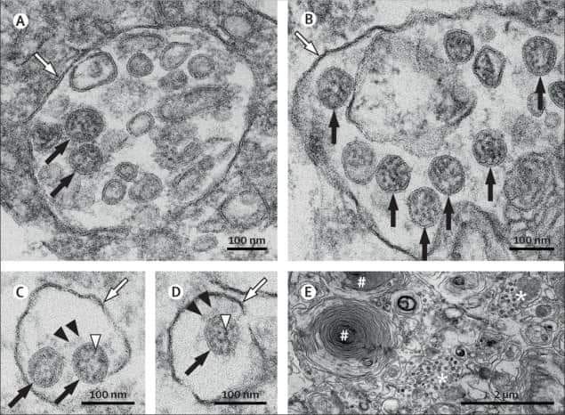
Κοιτάξτε τις παρακάτω εικόνες TEM. Μπορείτε να διακρίνετε ποιες είναι "ιοί" και ποιες είναι εξωσώματα ή άλλα εξωκυτταρικά κυστίδια που μοιάζουν με "ιούς";
Ούτε οι ιολόγοι μπορούν.
---Δικτυογραφία :
Electron Microscope Imagery: “Virus” Proof or Refutation? – ViroLIEgy
https://viroliegy.com/2021/09/11/electron-microscope-imagery-virus-proof-or-refutation/









